Primary Bladder Osteosarcoma: A Rare Entity with an Unfavorable Prognosis
Dr.Muhammad abdulwaasey, MBBS1 1, Anil Parwani, MD1a1, Himani Kumar, MD1, Nishant Rangwani, MD2, Gibson Hohberg, MD2
1Department of Pathology, Ohio state university, Columbus, Ohio.
2Department of Medicine, University of Queensland, Brisane, Australia.
*Corresponding author
Dr.Muhammad abdulwaasey, MBBS, Department of Pathology, Ohio state university, Columbus, Ohio.
Figure 1A: Gross microphotography showing exophytic, circumferential bladder mass invading perivesical fat and cecum.
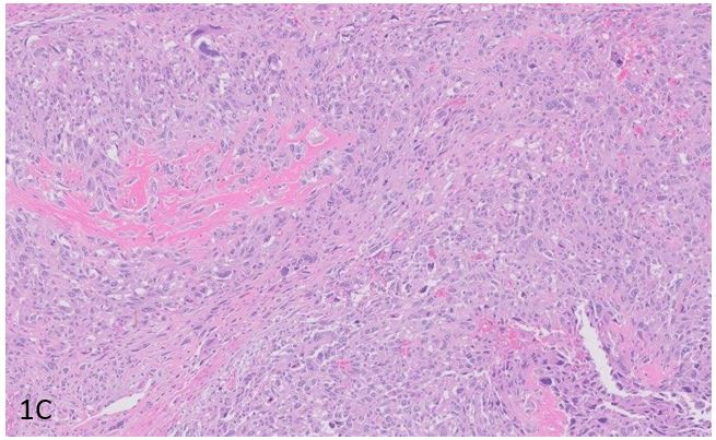
Figure 1B & 1C: Hematoxylin and Eosin-stained section showed spindle cells arranged in fascicles with moderate to severe pleomorphism and multinucleated giant cells with abundant eosinophilic intercellular lace like osteoid with 2-3 mitosis/high power.
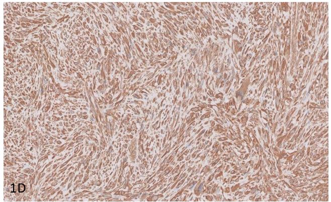
Figure D: Immunohistochemical staining of vimentin shows diffuse cytoplasmic expression.
- Oka T, Matsuzaki K, Izumi H, Nonomura D, Mori K, Nishimura Osteosarcoma of the bladder: a case report. Journal of Medical Case Reports. 2022;16(1). doi:https://doi.org/10.1186/s13256-022-03346-2
- Mremi A, Pyuza JJ, Bartholomeo N, Andongolile AA, Yahaya JJ. Diagnosis of primary osteosarcoma of the urinary bladder in a resource-limited setting: a case report and review of the literature. Journal of Surgical Case Reports. 2020;2020(7). doi:https://doi.org/10.1093/jscr/rjaa236
- Dekkers IA, Cleven A, Lamb HJ, Kroon Primary Osteosarcoma of the Breast. RadioGraphics. 2019;39(3):626-629. doi:https://doi.org/10.1148/rg.2019180181
- Namdari F, Nazar Pour MJ, Behzadi A, Akbari M, Moradi H, Dialameh Primary renal osteosarcoma: A case report and review of literature. Clinical Case Reports. 2022;10(6). doi:https://doi.org/10.1002/ccr3.5957
- Allan CJ, Solle EH. Osteogenic sarcoma of the somatic soft tissues.Clinicopathologic study of 26 cases and review of Cancer. 1971;27(5):1121-1133. doi:https://doi.org/10.1002/1097-0142(197105)27:5%3C1121::aid-cncr2820270519%3E3.0.co;2-3
- Chung EB, Enzinger Extraskeletal osteosarcoma. Cancer. 1987;60(5):1132- 1142. doi:https://doi.org/10.1002/1097-0142(19870901)60:5%3C1132::aid- cncr2820600536%3E3.0.co;2-l
- Elwy A, Soliman A, Maher M, et Primary Osteosarcoma of the Urinary Bladder Metastatic to Lung. Journal of Medical Cases. 2021;12(7):280-283. doi:https://doi.org/10.14740/jmc3613
- Siddappa JK, Singla S, Jain A, Kumar A Rare Case of Primary osteosarcoma of urinary bladder. Journal of Clinical Imaging Science. 2012;2:82. doi:https://doi.org/10.4103/2156-7514.105145
- Baydar DE, Himmetoglu C, Yazici S, Kiziloz H, Ozen Primary osteosarcoma of the urinary bladder following cyclophosphamide therapy for systemic lupus erythematosus: a case report. Journal of Medical Case Reports. 2009;3(1). doi:https://doi.org/10.1186/1752-1947-3-39
- GrubiÅ¡ić I, LeniÄek T, Tomas D, et Primary osteosarcoma of bladder diverticulum mimicking intradiverticular calculus: a case report. Diagnostic Pathology. 2011;6(1). doi:https://doi.org/10.1186/1746-1596-6-37
- Berenson RJ, Flynn S, Freiha FS, Kempson RL, Torti Primary osteogenic sarcoma of the bladder. Case report and review of the literature. Cancer. 1986;57(2):350-355. doi:https://doi.org/10.1002/1097-0142(19860115)57:2%3C350::aid-cncr2820570227%3E3.0.co;2-s
- Chitiyo Primary osteogenic sarcoma of the urinary bladder. The Journal of Pathology. 1973;111(1):53-56. doi:https://doi.org/10.1002/path.1711110109
- Phan CN, Wilkinson M, Cohen MB, Dunn S, Carroll P. Primary osteogenic sarcoma of the urinary bladder successfully treated with combination therapy. Urology. 1994;44(5):771-774. doi:https://doi.org/10.1016/s0090-4295(94)80228-9
- Nourse Primary Osteogenic Sarcoma of the Bladder. Journal of Urology. 1957;77(4):634-638. doi:https://doi.org/10.1016/s0022-5347(17)66610-2
- Powers JH, Van Zandt Hawn C, Carter RD. Osteogenic Sarcoma and Transitional Cell Carcinoma Occurring Simultaneously in the Urinary Bladder: Report of a Case. Journal of Urology. 1956;76(3):263-269. doi:https://doi.org/10.1016/s0022-5347(17)66691-6
- Atılgan D, Gençten Carcinosarcoma of the Bladder: A Case Report and Review of Literature. Case Reports in Urology. 2013; 2013:1-3. doi:https://doi.org/10.1155/2013/716704
- Razafimahefa J, Gosset C, Mongiat-Artus P, Andriamampionona TF, Verine J. Stromal osseous metaplasia in urothelial carcinoma of the bladder: a rare case report and literature review. Diagnostic Pathology. 2019;14(1). doi:https://doi.org/10.1186/s13000-019-0851-z
- Dudley AG, Tomaszewski JJ, Hughes AH, Davies BJ. Incidentally Discovered Osseous Metaplasia Within High-grade Urothelial Carcinoma of the Bladder. Urology. 2012;79(4): e59-e60. doi:https://doi.org/10.1016/j.urology.2011.06.043




